找回密码
 立即注册
网站/小程序/APP/浏览器插件/桌面软件/脚本 定制开发·运营维护·故障修复·技术咨询
查看: 4055|回复: 11

绿尿,膀胱酿酒,心脏插针?2020年度诡异病例盘点,简直大开眼界

[复制链接]
发表于 2021-9-13 03:01:26 | 显示全部楼层 |阅读模式
微信的规则进行了调整

希望大家看完故事多点“在看”,喜欢的话也点个分享

这样事儿君的推送才能继续出现在你的订阅列表里

才能继续跟大家分享每个开怀大笑或拍案惊奇的好故事啦~

年底,又到了各大媒体网站做年终总结的时候。

科普网站Live Science梳理出一波2020年最奇怪的病例集锦。

虽然它们聚焦单个患者,不像有数千人参加的科学研究那样具有广泛意义,但是它们可以更好地帮助医生们了解罕见病症,也能让人们认识到身体的奇妙。

以下就是Live Science总结出的本年度最奇怪的医学病例,一起来看看吧。

1,撒绿尿的男人

12月初,《新英格兰医学杂志》公布一份病例报告,芝加哥62岁的男子因患有慢性阻塞性肺病,血液中二氧化碳浓度过高,被送进医院重症监护室。

5天后,患者的情况好转,但是尿液却变成奇怪的绿色。

绿尿,膀胱酿酒,心脏插针?2020年度诡异病例盘点,简直大开眼界-1.jpg


人类尿液会因为多种原因变色,包括药物副作用、感染和肝脏问题。在这起病例中,导致变色的是异丙酚,医生曾用这种药物对男子进行全身麻醉。

异丙酚是手术麻醉时常用的药物,只有极少数情况下才会让人的尿液变绿。幸运的是,这种变色是良性的,一旦停止用药就会消失。

这名男子的尿液在几日后也恢复正常的颜色,在医院住了两周后转到康复机构治疗。

2,冷空气过敏症

《急诊医学杂志》在10月公布了一项过敏病例。一名34岁的美国男子在洗完澡后走出沐浴室,突然出现过敏性休克,昏倒在地。

家人们发现他呼吸困难,浑身冒汗,皮肤上长满荨麻疹。医护人员把他紧急送往急诊室,医生判断他患有寒冷性荨麻疹,也就是皮肤暴露于低温(冷空气或冷水)后出现过敏反应。

绿尿,膀胱酿酒,心脏插针?2020年度诡异病例盘点,简直大开眼界-2.jpg


家人们说,该男子有过对寒冷天气过敏的病史,但从来没有如此严重的过敏反应。这可能是他们最近从热带气候的密克罗尼西亚搬到低温的科罗拉多导致的。

医生们最后通过冰块测试确诊了寒冷性荨麻疹。目前不清楚这种病有多么普遍,一项欧洲的调查显示,人群中的患病率大约为0.05%。

在使用抗组胺药和类固醇治疗后,该男子几周后顺利出院。

3,吃甘草糖而死的人

甘草糖是一种口味奇怪的零食,用甘草精和糖浆制成,长得像橡胶轮胎(吃起来也挺像),但在欧美国家很受欢迎。

绿尿,膀胱酿酒,心脏插针?2020年度诡异病例盘点,简直大开眼界-3.jpg


不过,很多甘草糖爱好者不知道它里面含有一种叫甘草酸的化合物,食用过量后会降低体内的钾水平,导致高血压和心率失常,最后导致死亡。

今年,有一名54岁的美国男子在快餐店就餐时突然喘气,浑身发抖,最后失去意识。

急救人员发现该男子患有心室纤颤,一种危机生命的心率问题。

家人们告诉医生,男子的饮食习惯混乱,每天靠吃软糖充饥。他之前吃的都是水果糖,但几周前他开始吃黑色甘草糖,一天两大包。

就是因为甘草酸摄入过量,导致男子体内的钾含量太低。虽然医院对他使用了各种紧急治疗手段,但他还是在入院32小时后死亡。

之前,美国食品和药物管理局曾发过公告,建议40岁以上的人不得每天食用2盎司的甘草糖,因为连吃两周后就会出现心脏问题。

4,心上插针的少年

一名17岁少年莫名出现严重胸痛,疼痛扩散到背部,躺下或深呼吸时更严重。

在忍受三天后,他进入急诊室治疗,医生发现他血液中的蛋白质水平提升,这可能表明他心脏受损。

在对他进行胸部CT扫描后,医生惊讶地发现有一根3.5厘米长的金属异物插入少年的心脏,从心脏右心室伸出。

绿尿,膀胱酿酒,心脏插针?2020年度诡异病例盘点,简直大开眼界-4.jpg


少年说他没有经历过胸部创伤,也没有吃过奇怪的东西。

但他表示,自己喜欢做衣服,有时会把缝衣针放在嘴里。也许他不小心吞下过一根缝衣针,不过他记不清了。

手术后,医生果然从他的心脏上拔出一根缝衣针。

这是全球第一例患者在不知情的情况下吞下针头,最终进入心脏的病例。

少年在手术后很快康复了,之后也没有任何并发症,真是非常幸运。

5,膀胱酿酒的女人

《内科医学年鉴》在2月份发布了一个非常罕见的人体酿酒病例。

一名61岁的美国女子需要做一场救命的肝脏移植手术,但她始终无法进入手术的等候名单。

医生告诉她,她的尿检显示酒精检测呈阳性,需要戒酒后才能做手术。

绿尿,膀胱酿酒,心脏插针?2020年度诡异病例盘点,简直大开眼界-5.jpg


可是,该女子发誓自己根本没喝酒,医院也发现奇怪的现象,两种常见的酒精代谢物在尿检中呈阴性。按常理,至少有一种代谢物会在饮酒后存在数天。

同时,该女子的血液酒精测试也呈阴性,她的意识也非常清醒,证明她没有喝酒。

因为女子患有糖尿病,尿液中葡萄糖和酵母的含量都很高,医生们怀疑是否是她膀胱中的微生物将糖发酵成酒。

检测后发现,情况确实如此。

她的症状类似于一种罕见病“自动酿酒综合症”,肠胃中的微生物能将碳水化合物转化成酒,患者们只吃几片面包就醉了。

但这名女子的病情又有很多不同,酒精是在膀胱里酿造的,而且它没有从膀胱进入血液,而是直接拉出来。这让她没有喝醉的感受。

目前这种病症还没有名字,医生建议将它命名为“膀胱发酵综合症”。

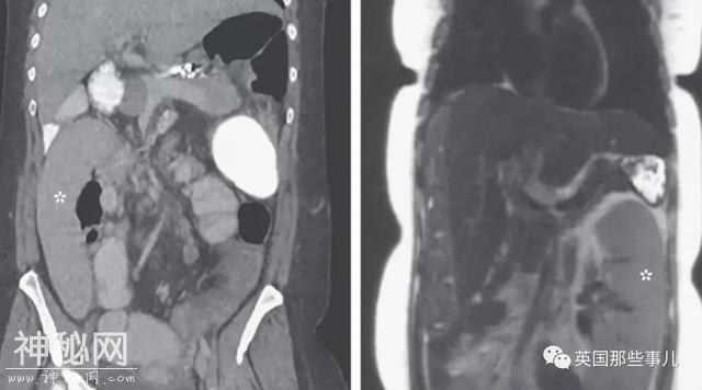
6,体内游走的脾脏

一名36岁的女性在密歇根医学中心做肝癌筛查,期间,医生给她的腹部拍了医学图像,当时脾脏在正常的位置。

一天后,该女子出现腹痛和呕吐,医生们重新做了扫描,发现她的脾脏竟然移动了0.3米,从左上腹部来到右下腹部。

绿尿,膀胱酿酒,心脏插针?2020年度诡异病例盘点,简直大开眼界-6.jpg


医生研究后发现,这是因为患者有硬化性胆管炎,其特征是将消化液从肝脏输送到小肠的胆管,发生炎症。

这种炎症会导致严重的肝硬化,堵塞管道,使血液回流,其中一个回流的地方就是脾脏。

随着时间推移,脾脏会越来越大,周围的韧带会被拉伸,使脾脏脱离位于上腹的正确位置。之后,脾脏就开始在身体内流浪。

解决这种病症的方法是摘除脾脏,患者之后开始准备切脾手术。

7,第三个肾脏

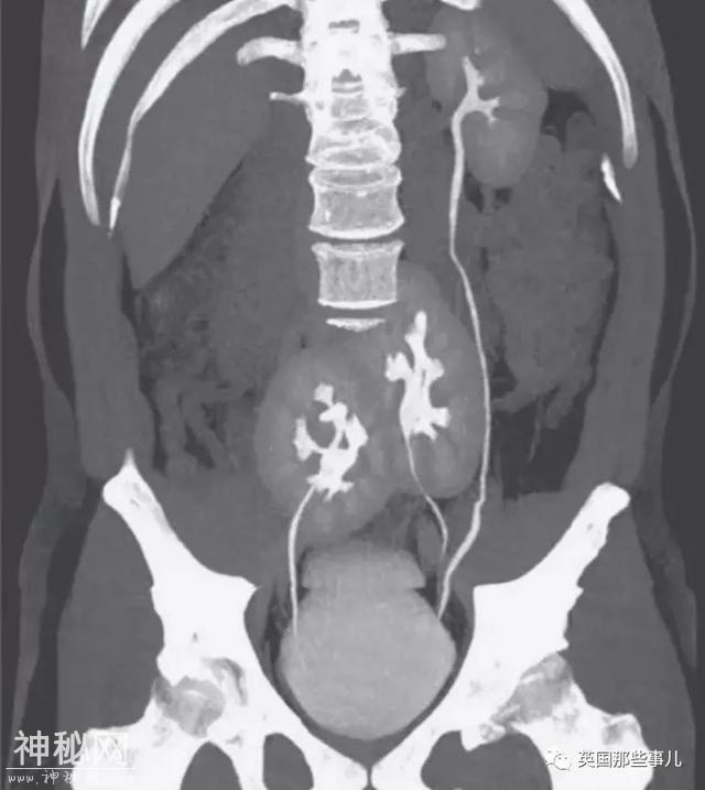
《新英格兰医学杂志》在5月报道了一个病例。一名38岁的巴西男子因为严重的背部疼痛寻求治疗,CT扫描显示,他患有腰椎盘突出。

这个病症不奇怪,但他的医生在扫描图片上看到古怪的一幕:该男子不像普通人那样拥有两个肾,而是有三个。

一个外观正常的肾脏位于他的左侧,两个融合的肾脏位于骨盆附近。

绿尿,膀胱酿酒,心脏插针?2020年度诡异病例盘点,简直大开眼界-7.jpg


通常,每个肾脏通过输尿管和膀胱连接。在该男子的身体里,多出来的肾的输尿管和左侧正常肾的输尿管相连。

虽然看上去奇怪,但该男子没有任何肾脏引发的症状,三个肾都工作正常。

最后,医生们没有对多出来的肾进行额外的医疗,只给了他口服止痛药来治疗背部疼痛。

8,60年前的并发症

《英国医学杂志》在1月份记录了一起历史悠久的手术并发症。

一名60岁的女性因为腹痛和呕吐去急诊室治疗,医生们研究半天都不明白发病原因。她后来回忆起,父母曾告诉她在出生第6天,医院给她做过治疗空肠闭锁的手术。

患有空肠闭锁的婴儿在消化食物时,食物会在肠道堵塞,这种堵塞在胎儿还在子宫里就出现了。

想要解决这个问题,医生需要移除堵塞物,接着在肠道上开两个口,在交叠的地方重新连接起来。

但这种手术可能导致并发症,因为重叠部分是多余的,食物碎片和其他物质会附着在这里,形成类似石头一样的东西。

在这名患者的体内,就有一截处于休眠状态的肠子,60年来吸收着体内物质,形成一个4×3.5厘米的结石。

绿尿,膀胱酿酒,心脏插针?2020年度诡异病例盘点,简直大开眼界-8.jpg


一直以来,她以为空肠闭锁手术早已成功完成,从没想过折磨自己多年的是60年前的并发症。

还好,医生最终取出结石,患者已完全康复了。

看了这么多病例,感觉人类的身体真是奇妙啊。

不过,随着医学的进步,这些奇怪的病症都能得到治疗,人类一直都在努力……

https://www.livescience.com/strangest-medical-cases-2020.html?utm_source=digg

--------------------

上海滩著名Badboy康大海:看到绿尿想起我有一次尿是红的,差点吓死以为得了不治之症,不安了好久才想起来前一天吃了火龙果…

吃饭时一定要看点什么:我我我!有一次发现自己尿是黑褐色的,突然背心一凉觉得“吾命休矣”,看到垃圾桶里的可乐罐才想起来把没喝完的可乐倒马桶忘冲了

绿尿,膀胱酿酒,心脏插针?2020年度诡异病例盘点,简直大开眼界-9.jpg


绿色的胭脂:三肾的可以考虑卖一个

绿尿,膀胱酿酒,心脏插针?2020年度诡异病例盘点,简直大开眼界-10.jpg


让我们问问神奇的独脚兽吧:事实上,大部分的重复肾都伴有畸形

绿尿,膀胱酿酒,心脏插针?2020年度诡异病例盘点,简直大开眼界-11.jpg


人称红色的资优生:针那个,我妈是医生,以前遇到一例是自己坐在针上面了,进去身体了顺着血管走了好一段了,害怕

nekochacha:我妈妈就有三颗肾

绿尿,膀胱酿酒,心脏插针?2020年度诡异病例盘点,简直大开眼界-12.jpg


本文版权归原作者英国那些事儿所有,如有侵权请联系管理员删除,原文地址:https://m.toutiao.com/i6911728056491049479/
回复

使用道具 举报

发表于 2021-9-13 03:02:11 | 显示全部楼层
我刚买了甘草糖就看见这文章
回复 支持 反对

使用道具 举报

发表于 2021-9-13 03:02:21 | 显示全部楼层
这有啥,我妹两个子宫,四个肾
回复 支持 反对

使用道具 举报

发表于 2021-9-13 03:02:52 | 显示全部楼层
我的名字叫NB。23岁,以前只吃薯片和薯条。住在杜王町东北部的别墅区一带,未婚,特别喜欢养狗和被狗舔,曾经把自己手上突然出现的黑痣切掉。我在龟友网吧当肝帝九天不睡觉。连肝73小时自己从喝水比赛带回来的游戏机,并不眠不休不站,并在暑假用超频的电脑挖比特币还不开空调。
我喜欢喝两加仑浓咖啡加上布洛芬辅料,自酿的三升朗姆酒和头孢一起喝, 并且每天喝50罐啤酒和3升朗姆酒。为了保证营养,我每天用150颗维生素糖和一磅巧克力和一瓶肉豆蔻做早餐,中午只吃生曲奇面团配1L酱油,下午吃加油站的玉米片加一份几个星期前用铜锅做的土豆沙拉,晚上最喜欢加油站的过期寿司。每次吃饭只用含铅器具。有计划来年开始生酮饮食。我为了在疫情中的安全,会在睡前把次氯酸钠和异丙醇以及鱼缸清洁剂混合饮用。
平常都是晚上11点睡,每天要睡足8个小时。睡前,我会用甲基汞洗个澡,再来一杯熔岩灯,一个雪景球加一瓶外用酒精配25个泻药巧克力蛋糕还有大约重度失眠症病人三个疗程要服用的量的安眠药,然后吃掉9天前留在餐桌上的意大利面,再做10组每组500个深蹲,上了床,马上熟睡。一觉睡到自然醒,决不把前一天的疲劳和压力留到第二天,此外,为了国家我每到夏令时都要把时钟调快1小时,为了防止牙刷损伤牙齿,我早上绝不刷牙,仅吃3颗洗衣球漱口,每天都吃两磅甘草糖,医生都说我身体很健康。
回复 支持 反对

使用道具 举报

发表于 2021-9-13 03:03:29 | 显示全部楼层
三个肾那个可以放心买苹果了
回复 支持 反对

使用道具 举报

发表于 2021-9-13 03:03:40 | 显示全部楼层
有。。。有人去喝了这酒没有?
回复 支持 反对

使用道具 举报

发表于 2021-9-13 03:04:34 | 显示全部楼层
好几个病症在手术直播间这本小说里看到过[呲牙][呲牙]
回复 支持 反对

使用道具 举报

发表于 2021-9-13 03:04:44 | 显示全部楼层
记得去年给一个患者用了亚甲蓝,第二天尿也绿了
回复 支持 反对

使用道具 举报

发表于 2021-9-13 03:04:52 | 显示全部楼层
三个肾是不是可以 ... 噶一个?
回复 支持 反对

使用道具 举报

发表于 2021-9-13 03:05:01 | 显示全部楼层
豪斯医生了解一下[捂脸]
回复 支持 反对

使用道具 举报

您需要登录后才可以回帖 登录 | 立即注册

本版积分规则

QQ|服务条款|版权问题|小黑屋|手机版|滇ICP备13004447号-1|滇公网安备53032802000133号|神秘网

网站地图sitemapArchiver

GMT+8, 2025-12-24 21:15 , Processed in 0.296547 second(s), 23 queries , Gzip On.

基于Discuz! X3.5

辛树所有

快速回复 返回顶部 返回列表