找回密码
 立即注册
网站/小程序/APP/浏览器插件/桌面软件/脚本 定制开发·运营维护·故障修复·技术咨询
查看: 2803|回复: 0

教你从肺CT上分辨是哪种细菌感染丨葡萄球菌肺炎篇

[复制链接]
发表于 2019-7-22 13:47:03 | 显示全部楼层 |阅读模式
教你从肺CT上分辨是哪种细菌感染丨葡萄球菌肺炎篇-1.jpg

来源:医学界影像诊断与介入频道

商务合作:2519330936@qq.com

要从CT上看出患者哪种细菌感染可能,很不容易,但有些时候,可以发现很多线索,甚至有超过90%的准确性初步估计是哪种细菌感染。

如何练就这一套火眼金睛呢?别急,读了本文,你就会明白!

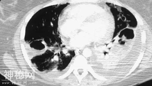
病例1

患者高热,寒战,咳脓痰,痰中带血,起病急,无艾滋病。

教你从肺CT上分辨是哪种细菌感染丨葡萄球菌肺炎篇-2.jpg

诊断?

■ CT特点:

1.双肺多发气囊、空洞,斑片影;

2.病灶以胸膜下为主。

■ 诊断

像这样的CT,这样的患者,绝大多数都是金黄色葡萄球菌(以下简称“金葡菌”)感染!

病例2


青年患者,平素吸毒,突发高热,寒战,咳脓痰。

教你从肺CT上分辨是哪种细菌感染丨葡萄球菌肺炎篇-3.jpg

诊断?

■ CT特点:

1.双肺多发气囊、结节,斑片影;

2.病灶以胸膜下为主;

3.并发液气胸。

■ 诊断:

像这样的CT,这样的鸦片战争loser,绝大多数都是金葡菌感染!

并且,这是脓毒肺栓塞,简单地说,就是含有细菌的栓子跑到肺血管,引起栓塞,并且所到之处,播散感染,形成脓肿。

脓毒肺栓塞诊断标准

①影像学表现为肺的周边、胸膜下气囊、多灶或者局灶肺浸润影;

②存在脓毒性栓子来源的活动性肺外感染灶;

③排除其他可解释的疾病,比如肺癌、间质性肺炎;

④经适当的抗生素治疗有效,肺浸润影吸收。

PS:很多细菌、真菌等等,会引起脓毒肺栓塞,但是,主要是金葡菌


病例3



发热,气促,咯血。

教你从肺CT上分辨是哪种细菌感染丨葡萄球菌肺炎篇-4.jpg

诊断?

虽然没有气囊影,但是多发结节,空洞,病灶大多数靠近胸膜,金葡菌可能性极大!

金葡菌肺炎长啥样?书上描述很多,记不住,还是看图算了。上面是典型的金葡菌肺炎,其他的特点,也来看图。

病例4


a 36-year-old white man with a past medical history of schizophrenia, hepatitis C virus infection, and methadone maintenance for previous opiate dependence, was admitted to hospital 5 days later with similar symptoms (shortness of breath, fever, chills, and productive cough).

36岁男性,既往有精神分裂,丙肝,因鸦片依赖行美沙酮维持治疗,气短、畏寒发热、咳痰5天。

教你从肺CT上分辨是哪种细菌感染丨葡萄球菌肺炎篇-5.jpg

左下肺实变,空洞。

病例5


流感肺炎进展快,金葡菌肺炎进展也很快,假如流感合并金葡菌,会肿么样?比小李飞刀还快!

下面就是流感合并金葡菌肺炎的胸片,静静地感受一下!

教你从肺CT上分辨是哪种细菌感染丨葡萄球菌肺炎篇-6.jpg

并且,这是甲氧西林敏感的金葡菌。

病例6


患者女性,巴氏腺脓肿切开,一天后发热,症状逐渐恶化,高热,咳嗽,气促。

教你从肺CT上分辨是哪种细菌感染丨葡萄球菌肺炎篇-7.jpg

教你从肺CT上分辨是哪种细菌感染丨葡萄球菌肺炎篇-8.jpg

教你从肺CT上分辨是哪种细菌感染丨葡萄球菌肺炎篇-9.jpg

多发气囊、结节、空洞,胸膜下为主。加之脓肿切开术后。妥妥的金葡菌肺炎。

病例7


年轻患者,长期吸烟,发热,咯血,气促。

教你从肺CT上分辨是哪种细菌感染丨葡萄球菌肺炎篇-10.jpg

双肺多发空洞,实变,胸腔积液,胸水示脓胸,病情进展,呼吸机治疗。

最终诊断金葡菌肺炎、坏死性肺炎。

病例8


最后一图,也是金葡菌。

教你从肺CT上分辨是哪种细菌感染丨葡萄球菌肺炎篇-11.jpg

来来来,敲黑板!


最后,再来体会葡萄球菌肺炎的临床特点:

    典型患者起病多急骤,寒战,体温多高达39-40℃,较多痰脓性,带血丝或呈脓血状。胸痛,全身肌肉、关节酸痛,一般情况差。血源性葡萄球菌肺炎,咳脓性痰较少见,常有皮肤伤口、感染和中心静脉导管置入等,或静脉吸毒史。


    影像学示肺段或肺叶实变,或呈小叶状浸润,典型患者可形成空洞,其中有单个或多发的液气囊腔。


    影像学另一特征是游走性,表现为一处炎性浸润消失而在另一处出现新的病灶,或容易变化:很小的单一病灶发展为大片阴影。治疗有效时,大多约2-4周后病变完全消失。

参考文献:

1. Masaki K, Ishii M, Anraku M, et al. Fatal Fulminant Pneumonia Caused by Methicillin-Sensitive Staphylococcus aureus Negative for Major High-Virulence Factors Following Influenza B Virus Infection.[J]. American Journal of Case Reports, 2015, 16(suppl 2):454-458.

2. N. Jung, C. Lehmann, M. Hellmann, et al. Necrotizing Pneumonia Caused by Panton-Valentine Leucocidin-Producing Staphylococcus aureus Originating from a Bartholin's Abscess[J]. Infect Dis Obstet Gynecol. 2008, 2008:491401.

3. Hidron A I, Honig E G, Blumberg H M. Emergence of community-acquired meticillin-resistant Staphylococcus aureus strain USA300 as a cause of necrotising community-onset pneumonia[J]. Lancet Infectious Diseases, 2009, 9(6):384.

【版权声明】本平台属公益学习平台,转载系出于传递更多学习信息之目的,如有图片、内容等不想转载传播可与我们联系删除。

放射沙龙影像学习推荐专区

在繁忙的临床工作中要怎样才能提升自己的阅片能力呢?难到要一遍一遍的请教同事、一点点上网搜资料或没有重点的翻看厚厚的教科书吗?

学习颅脑影像读片无需那么复杂!

【手把手教你“颅脑影像读片】

放射沙龙联合华医网特邀天坛医院放射科博士、副主任医师沈宓老师,为大家从影像学基础开始,从颅脑外伤、脑血管疾病、颅内肿瘤等常见颅脑病变出发,带你一步步了解颅脑影像的诊断要点及鉴别诊断。让你从入门到精通,掌握颅脑影像的读片技巧。

教你从肺CT上分辨是哪种细菌感染丨葡萄球菌肺炎篇-12.jpg

讲师简介:

沈宓:首都医科大学附属北京天坛医院 放射科 副主任医师,具有丰富的临床读片经验,深入浅出的讲解颅脑影像基础,在结合临床的基础上讲解脑血管常见疾病的影像识别技巧。

原价299元

现新课优惠低至6折仅需199元

识别下方二维码

立即下载或更新APP购买



课程目录:

教你从肺CT上分辨是哪种细菌感染丨葡萄球菌肺炎篇-13.jpg

福利往这儿看

放射沙龙为了方便更多的放射医生学习

特地为每一位新进入学院的小伙伴们

呈上放射沙龙全场通用10元优惠券

领取方式往下看



领取放射沙龙全场通用10元优惠券

扫描下方二维码进入领取页面

点击下方“阅读原文”领取10元优惠券!

本文版权归原作者今日头条所有,如有侵权请联系管理员删除,原文地址:https://www.toutiao.com/a6713990667002970638/
回复

使用道具 举报

您需要登录后才可以回帖 登录 | 立即注册

本版积分规则

QQ|服务条款|版权问题|小黑屋|手机版|滇ICP备13004447号-1|滇公网安备53032802000133号|神秘网

网站地图sitemapArchiver

GMT+8, 2026-3-14 22:35 , Processed in 0.139645 second(s), 22 queries , Gzip On.

基于Discuz! X3.5

辛树所有

快速回复 返回顶部 返回列表