找回密码
 立即注册
网站/小程序/APP/浏览器插件/桌面软件/脚本 定制开发·运营维护·故障修复·技术咨询
查看: 8852|回复: 20

从癌症晚期到肿瘤消失 医生感叹:从医以来见的头一例!

[复制链接]
发表于 2018-4-2 04:17:03 | 显示全部楼层 |阅读模式
肺癌、胃癌、结直肠癌、肝癌、食管癌是我国发病率排名前五的恶性肿瘤,其中我国食管癌患者死亡率在全世界排名第一,发病率和死亡率几乎接近。
从癌症晚期到肿瘤消失 医生感叹:从医以来见的头一例!-1.jpg

患了食管鳞癌(食管癌的一种)的患者如果发生癌细胞转移,几乎就等同于绝症。然而前不久,在北京大学肿瘤医院,这一位患者就上演了绝处逢生的奇迹,经过一段的治疗,癌细胞竟然消失了,连大夫都说:

这样的病例,在她的职业生涯中从未见到过!

去年年初,一位57岁的内蒙古男性患者因患食管鳞癌发生肝转移来到北京大学肿瘤医院就诊,由消化道肿瘤VIP病区主任医师张晓东收治。

如果说一期、二期癌症的根治率能达到90%,这位患者四期癌症的情况就真正可谓是绝望,预计生存期只有6-10月。
从癌症晚期到肿瘤消失 医生感叹:从医以来见的头一例!-2.jpg

在此前的辗转就诊中,患者和家属已经拿到了多家医院的“死亡判决书”,压在他们面前的是患者即使接受了治疗也可能要面临预后不良、很难长期生存、家庭经济负担沉重的几座大山,但这次来到北京大学肿瘤医院,他们无论如何也想再向命运发起一次冲击。

了解情况后,张晓东大夫和患者家属反复沟通,告知了所有可能面临的情况,包括最坏的后果,同时为患者开启了多学科诊疗,影像科、核医学科等都参与其中,为患者制定了详细的治疗方案。
从癌症晚期到肿瘤消失 医生感叹:从医以来见的头一例!-3.jpg

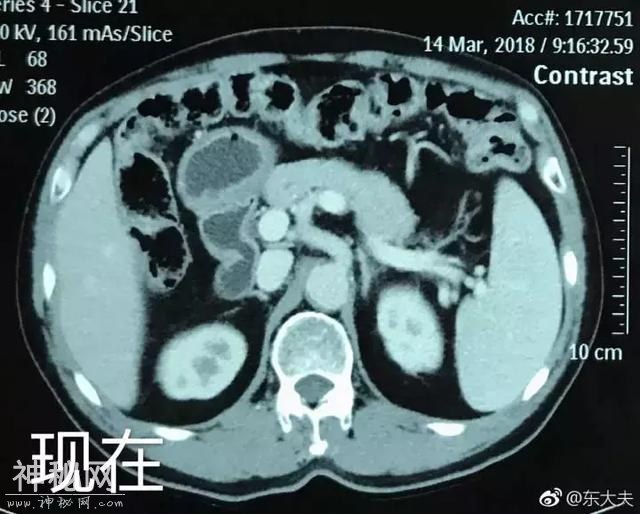
从癌症晚期到肿瘤消失 医生感叹:从医以来见的头一例!-4.jpg

△图中阴影部分为肿瘤

“对于晚期癌症患者,放化疗效果和手术效果差不多,但外科手术难度较大、损伤程度大,对病人的体力打击大,术后生活质量下降较多,所以当消化道癌症出现远处转移时,我们不太推荐手术。”

经过多学科诊疗,张晓东大夫最终为患者选择了放化疗治疗手段。
从癌症晚期到肿瘤消失 医生感叹:从医以来见的头一例!-5.jpg

从癌症晚期到肿瘤消失 医生感叹:从医以来见的头一例!-6.jpg

△肿瘤逐渐变小

令人惊喜的是,在三个月的四次化疗、对病灶做局部放疗以及两个巩固周期的治疗后,患者的肝转移灶和原发灶癌竟然奇迹般的消失了,并且在之后的一年里癌细胞没再发生新的进展,现在患者已经回到老家,正常上班了。

这样的奇迹,让张晓东大夫都不禁感叹,自己从医这些年,还是第一次碰到!
从癌症晚期到肿瘤消失 医生感叹:从医以来见的头一例!-7.jpg

从癌症晚期到肿瘤消失 医生感叹:从医以来见的头一例!-8.jpg

△肿瘤几乎消失
从癌症晚期到肿瘤消失 医生感叹:从医以来见的头一例!-9.jpg

奇迹是如何发生的?

有哪些因素促成了这个奇迹的发生?对今后的治疗有什么启发?听听张晓东大夫怎么说~
从癌症晚期到肿瘤消失 医生感叹:从医以来见的头一例!-10.jpg

守护君:患者的肿瘤病灶消失,就代表已经完全治愈了吗?

张晓东:患者现在是无病生存,不能确定就能完全根治,如果5年后,患者的肿瘤不发生进展,那才能说这次的肿瘤被根治了。

虽然经过放化疗,患者现在的肿瘤细胞全都坏死了,但不能保证过段时间会不会又长起来,也存在在我们打击肿瘤细胞之前,有一部分藏匿到别的部位发生了转移,这些风险也还是存在。

所以这位患者还是有漫长的路要走,不过即使疾病再发展,因为他对第一次治疗就比较敏感,之后的治疗也还是会敏感,生存情况会比其他患者要好。
从癌症晚期到肿瘤消失 医生感叹:从医以来见的头一例!-11.jpg

从癌症晚期到肿瘤消失 医生感叹:从医以来见的头一例!-12.jpg

△箭头处为癌细胞消失后留下的疤

守护君:哪些因素促成了这个“奇迹”发生?

张晓东:患者本身对治疗比较敏感,我们的多学科诊疗模式为患者选择了最适合的治疗方式,另外还有我们的细心观察,及时抓住了治疗的机会吧。

不管采取什么治疗方式,都需要及时判效,不能患者已经做了好几个周期疾病都进展了还在用原来的方案做。我见过一些患者在别的地方疗效不好,转到我们医院来,实际上治疗方式、用的药物没什么大问题,但是医生对药物毒性反应的把控不足,没有及时根据患者的个体差异调整,对于根治可能的患者没有及时发现。能够抓住根治机会,细心发现患者的变化也是内科医生的水平体现。

守护君:这次奇迹对您今后的诊疗有什么启发?

张晓东:以后遇到这样的患者,我们会更加坚持多学科诊疗模式。

其实手术、射频、放疗都是“毁损”性治疗,面对复杂的肿瘤病情我们并不推荐单打一的治疗方式。十多年前,北京大学肿瘤医院就推行了多学科诊疗模式,这是已经被全院认可、能够规范执行的一套诊疗模式,在适合的时间用适合的方式,患者才能获益更多。这不仅考验一个医生的水平,也考验着一个医院的水平。

另外就是,还是要密切观察和随诊 ,要求医生能够更加细心地发生有根治可能的患者吧。

科普时间

食管鳞癌因其病灶小等生物学特点,很难被早期发现,一旦发现多半是晚期。目前人们并不清楚其详细的发病原理,但能发现的是整个消化道肿瘤具有明显的地域性,比如全球胃癌发生率50%在日本,41%在中国,只有很少的在欧美国家。

但除了基因,外在生活习惯也可能加速癌细胞发展。95%以上得食管鳞癌患者有抽烟、饮酒史,张晓东大夫表示:

“就跟开车一样,如果有点小毛病不修,拖到最后就成大毛病了。抽烟、喝酒、吃过烫的食物、总是让食道和胃受刺激、生活不规律、情绪化明显,这些都会加剧对身体的损害,会让本身携带癌症基因的人提前发病。”

事实上,相比30年前我国上消化道癌患者平均发病年龄70~75岁,现在这一年龄已经前移到50~60岁,同时45岁以下的患者也明显比过去增多了。

因此,除了良好的生活方式,张晓东大夫还建议45岁以上的人定期检查胃镜,尤其是家中有直系亲属患过癌症的人,根据医生的建议定期做检查。

作者:张晓东

北京大学肿瘤医院,消化道肿瘤VIP病区主任医师


本文版权归原作者所有,如有侵权请联系管理员删除,原文地址:https://www.toutiao.com/a6539507644430811652/
回复

使用道具 举报

发表于 2018-4-2 04:17:12 | 显示全部楼层
不知有多少人死在假癌症手上。
回复 支持 反对

使用道具 举报

发表于 2018-4-2 04:17:59 | 显示全部楼层
别相信!凡是癌证一到医院化疗,大半条命送在了医院!过度治疗,死得快,从而人财两空!
回复 支持 反对

使用道具 举报

发表于 2018-4-2 04:18:40 | 显示全部楼层
我们村有一位胃癌晚期患者50多岁,医生说最多三四个月的生命,让他回家想吃点什么就尽量去吃点什么,意思就是等死吧!他不甘心等死,回家后不知在哪找的偏方死马当活马医,天天乱吃一些什么藤树根和草根,还有烧蟾蜍吃,过了两个月体重增加了,面色也好看了,去医院复查肿瘤竟然没有了,医生问他到底吃哪些东西,他自己都不知吃哪些东西,因为吃的东西太多了,医生都说是奇迹!现在十几年了人还活着。
回复 支持 反对

使用道具 举报

发表于 2018-4-2 04:18:56 | 显示全部楼层
癌症治不好,治好的都是误诊!
回复 支持 反对

使用道具 举报

发表于 2018-4-2 04:19:35 | 显示全部楼层
好多年前表姐在北京一家很牛逼医院诊断说得了白血病,农村人没钱回家等死了,我还想着捐献骨髓,回老家以后到了我们当地医院医院说煤气中毒了,挂了几天水好了,我是非常气愤的,当时给表姐说去找医院,这样害死人了,表姐说算了人好了就行
回复 支持 反对

使用道具 举报

发表于 2018-4-2 04:20:06 | 显示全部楼层
是不是癌症,医学上有严格的诊断。有各种指标和检验确诊。相信医院和医生不会乱说无中生有。个别癌症病人自动好转痊愈也是有可能的。可能性一般极小,不能因为极小,就认为不可能。更不能自己好不了,就受骗了,所有得癌症的人都该死。人死是迟早的事,心态放开些。对自己和家人有好处。
回复 支持 反对

使用道具 举报

发表于 2018-4-2 04:20:48 | 显示全部楼层
第一次碰到[我想静静]看来以前都是敲光病人钱
回复 支持 反对

使用道具 举报

发表于 2018-4-2 04:20:54 | 显示全部楼层
万例化疗,只有一例成功,就广告四方,失败的,从不告知!?病人,掂量掂量吧![吐][吐][吐][吐][吐]
回复 支持 反对

使用道具 举报

发表于 2018-4-2 04:21:02 | 显示全部楼层
这个病不是癌,是自身免疫性食管炎也称为IgG4相关性疾病,怎么就成了抗癌英雄了。
回复 支持 反对

使用道具 举报

您需要登录后才可以回帖 登录 | 立即注册

本版积分规则

QQ|服务条款|版权问题|小黑屋|手机版|滇ICP备13004447号-1|滇公网安备53032802000133号|神秘网

网站地图sitemapArchiver

GMT+8, 2025-12-16 15:38 , Processed in 0.111478 second(s), 22 queries , Gzip On.

基于Discuz! X3.5

辛树所有

快速回复 返回顶部 返回列表